임플란트 7 페이지

본문 바로가기

임플란트

Total 99건 7 페이지
  • RSS
  • 3
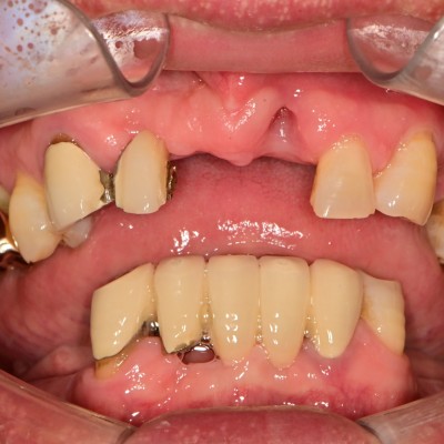
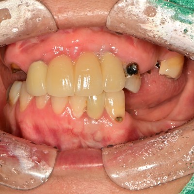
    만 50세 전체 임플란트 증례입니다. 전체 임플란트 증례입니다. 18개의 임플란트로 완성하였습니다.
    작성자 이턱이 작성일 01-20 조회 32
  • 2
    47세 전체임플란트 증례 전체임플란트로 진행하였습니다.
    작성자 이턱이 작성일 01-16 조회 51
  • 1
    풀아치임플란트 풀아치 임플란트는 6~8개의 임플란트로 전체 치아를 지지하는 전체임플란트 치료법 중 하나입니다 전체 임플란트가 부담스러..
    작성자 이턱이 작성일 01-15 조회 79

검색

본 글은 의료법 제 58조 1항에 따라 이턱퍼스트치과에서 의학적 지식을 공유하기 위해 작성되었습니다.
내원 환자분의 동의하에 공개된 것이며 모든 시술/수술은 부작용이 발생할 수 있음으로 의료진과 상담을 통해 정하셔야합니다.


이턱퍼스트치과 바로가기

회사명 : 이턱퍼스트치과 / 대표 : 장진현
주소 : 경기도 평택시 지제동삭2로 181-24 3층
사업자 등록번호 : 292-23-01382
전화 : 031-658-2288

Copyright © eteokfirst.com All rights reserved.