만 63세 전체 임플란트 증례(기존 임플란트 포함)
페이지 정보

본문
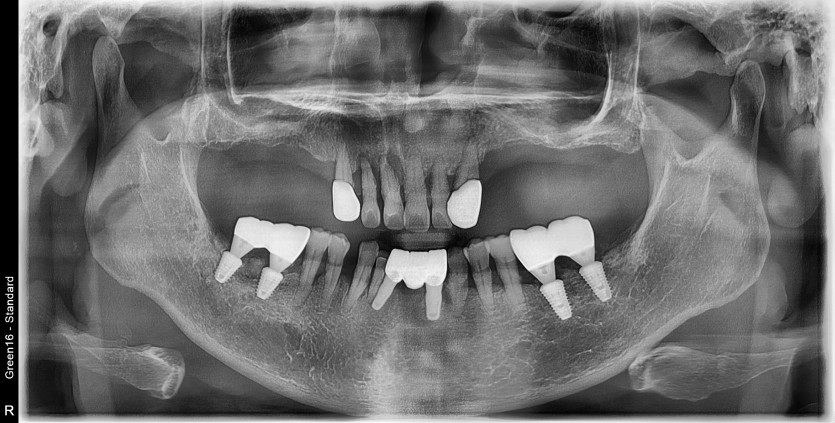
전체 임플란트 증례입니다.
(기존 임플란트 포함하여 교합 안정화)
16개의 임플란트로 완성하였습니다.
-----------------------------------------------------------------------------------------------------------------------------------
본 글은 의료법 제 58조 1항에 따라 이턱퍼스트치과에서 의학적 지식을 공유하기 위해 작성되었습니다.
내원 환자분의 동의하에 공개된 것이며 모든 시술/수술은 부작용이 발생할 수 있음으로 의료진과 상담을 통해 정하셔야합니다.
-----------------------------------------------------------------------------------------------------------------------------------
(기존 임플란트 포함하여 교합 안정화)
16개의 임플란트로 완성하였습니다.
-----------------------------------------------------------------------------------------------------------------------------------
본 글은 의료법 제 58조 1항에 따라 이턱퍼스트치과에서 의학적 지식을 공유하기 위해 작성되었습니다.
내원 환자분의 동의하에 공개된 것이며 모든 시술/수술은 부작용이 발생할 수 있음으로 의료진과 상담을 통해 정하셔야합니다.
-----------------------------------------------------------------------------------------------------------------------------------
- 이전글만 68세 하악 전체 임플란트 증례 26.02.02
- 다음글만 61세 하악 전체 임플란트 증례 26.01.30
댓글목록
등록된 댓글이 없습니다.
