사랑니 5 페이지

본문 바로가기

사랑니

Total 106건 5 페이지
  • RSS
  • 42
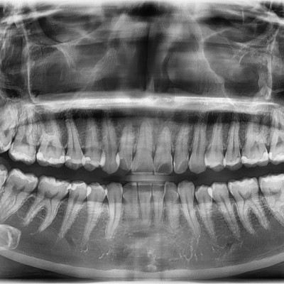
    #28,38,48 사랑니 발치 #28,38,48 사랑니 발치 구강 외과 전문의가 당일 발치했습니다.
    작성자 이턱이 작성일 01-28 조회 10
  • 41
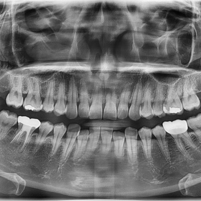
    #48 사랑니 발치 #18,48 사랑니 발치 구강 외과 전문의가 당일 발치했습니다.
    작성자 이턱이 작성일 01-28 조회 10
  • 40
    #18,48 사랑니 발치 #18,48 사랑니 발치 구강 외과 전문의가 당일 발치했습니다.
    작성자 이턱이 작성일 01-28 조회 11
  • 39
    #28,38 사랑니 발치 #28,38 사랑니 발치 구강 외과 전문의가 당일 발치했습니다.
    작성자 이턱이 작성일 01-27 조회 19
  • 38
    #18,28,48 사랑니 발치 #18,28,48 사랑니 발치 구강 외과 전문의가 당일 발치했습니다.
    작성자 이턱이 작성일 01-27 조회 11
  • 37
    #38 사랑니 발치 #38 사랑니 발치 구강 외과 전문의가 당일 발치했습니다.
    작성자 이턱이 작성일 01-27 조회 13
  • 36
    #48 사랑니 발치 #48 사랑니 발치 구강 외과 전문의가 당일 발치했습니다.
    작성자 이턱이 작성일 01-27 조회 12
  • 35
    #48 사랑니 발치 #48 사랑니 발치 구강 외과 전문의가 당일 발치했습니다.
    작성자 이턱이 작성일 01-27 조회 16
  • 34
    #28,38 사랑니 발치 #28,38 사랑니 발치 구강 외과 전문의가 당일 발치했습니다.
    작성자 이턱이 작성일 01-27 조회 14
  • 33
    #28,38 사랑니 발치 #28,38 사랑니 발치 구강 외과 전문의가 당일 발치했습니다.
    작성자 이턱이 작성일 01-27 조회 13
  • 32
    #18,48 사랑니 발치 #18,48 사랑니 발치 구강 외과 전문의가 당일 발치했습니다.
    작성자 이턱이 작성일 01-27 조회 16
  • 31
    #28,38 사랑니 발치 #28,38 사랑니 발치 구강외과 전문의가 당일 발치했습니다.
    작성자 이턱이 작성일 01-26 조회 22
  • 30
    #28,38 사랑니 발치 #28,38 사랑니 발치 구강외과 전문의가 당일 발치했습니다.
    작성자 이턱이 작성일 01-26 조회 15
  • 29
    #38 사랑니 발치 #38 사랑니 발치 구강외과 전문의가 당일 발치했습니다.
    작성자 이턱이 작성일 01-26 조회 35
  • 28
    #28,38 사랑니 발치 #28,38 사랑니 발치 구강외과 전문의가 당일 발치했습니다.
    작성자 이턱이 작성일 01-26 조회 27
  • 27
    #48 사랑니 발치 #48 사랑니 발치 구강외과 전문의가 당일 발치했습니다.
    작성자 이턱이 작성일 01-26 조회 21

검색

본 글은 의료법 제 58조 1항에 따라 이턱퍼스트치과에서 의학적 지식을 공유하기 위해 작성되었습니다.
내원 환자분의 동의하에 공개된 것이며 모든 시술/수술은 부작용이 발생할 수 있음으로 의료진과 상담을 통해 정하셔야합니다.


이턱퍼스트치과 바로가기

회사명 : 이턱퍼스트치과 / 대표 : 장진현
주소 : 경기도 평택시 지제동삭2로 181-24 3층
사업자 등록번호 : 292-23-01382
전화 : 031-658-2288

Copyright © eteokfirst.com All rights reserved.