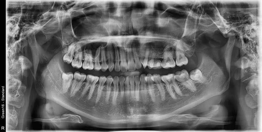
#18,48 사랑니 발치
페이지 정보

본문
#18,48 사랑니 발치
구강외과 전문의가 당일 발치 했씁니다.
구강외과 전문의가 당일 발치 했씁니다.
- 이전글#28,38 사랑니 발치 26.01.20
- 다음글#38 사랑니 발치 26.01.20
댓글목록
등록된 댓글이 없습니다.

등록된 댓글이 없습니다.
본 글은 의료법 제 58조 1항에 따라 이턱퍼스트치과에서 의학적 지식을 공유하기 위해 작성되었습니다.
내원 환자분의 동의하에 공개된 것이며 모든 시술/수술은 부작용이 발생할 수 있음으로 의료진과 상담을 통해 정하셔야합니다.
회사명 : 이턱퍼스트치과 / 대표 : 장진현
주소 : 경기도 평택시 지제동삭2로 181-24 3층
사업자 등록번호 : 292-23-01382
전화 : 031-658-2288