사랑니 7 페이지

본문 바로가기

사랑니

Total 106건 7 페이지
  • RSS
  • 10
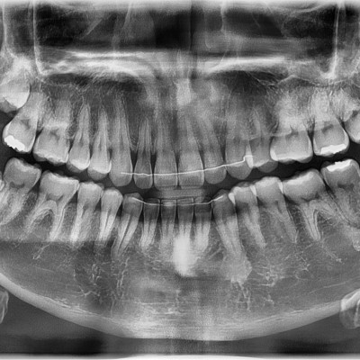
    #18,28,38,48 사랑니 발치 #18,28,38,48 사랑니 발치 구강외과 전문의가 당일 발치했습니다.
    작성자 이턱이 작성일 01-19 조회 37
  • 9
    #38,48 사랑니 발치 #38,48 사랑니 발치 구강 외과 전문의가 당일발치했습니다.
    작성자 이턱이 작성일 01-19 조회 46
  • 8
    #48 사랑니 발치 #48 사랑니 발치 구강외과 전문의가 당일 발치했습니다.
    작성자 이턱이 작성일 01-16 조회 44
  • 7
    #38,48 사랑니 발치 #38, 48 사랑니 발치 구강외과 전문의가 당일발치했습니다.
    작성자 이턱이 작성일 01-16 조회 36
  • 6
    #18,48 사랑니 발치 #18,48 사랑니 발치 구강외과 전문의가 당일발치했습니다.
    작성자 이턱이 작성일 01-16 조회 32
  • 5
    #18,48 사랑니 발치 #18,48 사랑니 발치 구강외과 전문의가 당일발치했습니다.
    작성자 이턱이 작성일 01-16 조회 32
  • 4
    #18,48 사랑니 발치 #18,48 사랑니 발치 구강외과 전문의가 당일발치했습니다.
    작성자 이턱이 작성일 01-15 조회 22
  • 3
    #38 사랑니 발치 #38 사랑니 발치 구강외과 전문의가 당일발치했습니다.
    작성자 이턱이 작성일 01-15 조회 29
  • 2
    매복사랑니 발치 구강외과전문의가 직접 발치합니다.
    작성자 이턱이 작성일 01-15 조회 29
  • 1
    이턱퍼스트치과 사랑니 다양한 사랑니 당일발치가 가능합니다
    작성자 이턱이 작성일 01-15 조회 29

검색

본 글은 의료법 제 58조 1항에 따라 이턱퍼스트치과에서 의학적 지식을 공유하기 위해 작성되었습니다.
내원 환자분의 동의하에 공개된 것이며 모든 시술/수술은 부작용이 발생할 수 있음으로 의료진과 상담을 통해 정하셔야합니다.


이턱퍼스트치과 바로가기

회사명 : 이턱퍼스트치과 / 대표 : 장진현
주소 : 경기도 평택시 지제동삭2로 181-24 3층
사업자 등록번호 : 292-23-01382
전화 : 031-658-2288

Copyright © eteokfirst.com All rights reserved.