임플란트 재수술 페이지

본문 바로가기

임플란트 재수술

Total 22건 1 페이지
  • RSS
  • 22
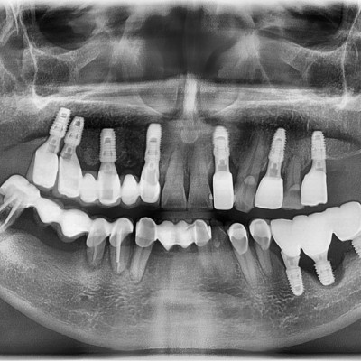
    40번대 임플란트 재수술 --------------------------------------------------------------------..
    작성자 이턱이 작성일 03-06 조회 42
  • 21
    임플란트 재수술 #12.13.22 타원 임플란트 제거 후 임플란트 수술+치조골 이식술 시행하였습니다.
    작성자 이턱이 작성일 01-27 조회 109
  • 20
    임플란트 재수술 #37 타원 임플란트 제거 후 임플란트 수술+치조골이식술 시행하였습니다.
    작성자 이턱이 작성일 01-27 조회 95
  • 19
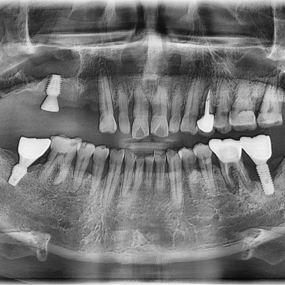
    임플란트 재수술 #36 타병원 임플란트 뼈이식 + 재식립
    작성자 이턱이 작성일 01-27 조회 123
  • 18
    임플란트 재수술 #37 타원 임플란트 제거 후 임플란트 수술+치조골이식술 시행하였습니다.
    작성자 이턱이 작성일 01-27 조회 117
  • 17
    임플란트 재수술 10번대 픽스쳐 파절로 임플란트 재수술 진행
    작성자 이턱이 작성일 01-27 조회 120
  • 16
    임플란트 재수술 #44.45.46.47 타원 임플란트 보철물 제거 후 임플란트 재수술+치조골 이식술 시행하였습니다.
    작성자 이턱이 작성일 01-27 조회 87
  • 15
    임플란트 재수술 30번대 임플란트 재수술
    작성자 이턱이 작성일 01-27 조회 102
  • 14
    임플란트 재수술 #25.26.27 타원 임플란트 제거 후 임플란트 재식립+치조골 이식술 시행하였습니다.
    작성자 이턱이 작성일 01-27 조회 99
  • 13
    임플란트 재수술 #46,47 임플란트 재수술
    작성자 이턱이 작성일 01-27 조회 105
  • 12
    임플란트 재수술 #47 타원 임플란트 제거 후 임플란트 +치조골 이식술 같이 시행하였습니다.
    작성자 이턱이 작성일 01-27 조회 95
  • 11
    임플란트 재수술 #46 타원 임플란트 제거 후 임플란트 재수술 + 치조골 이식술 시행하였습니다.
    작성자 이턱이 작성일 01-27 조회 112
  • 10
    임플란트 재수술 #14.15.16.17 타원 임플란트 제거 후 임플란트 식립+ 치조골 이식술 시행하였습니다.
    작성자 이턱이 작성일 01-27 조회 111
  • 9
    임플란트 재수술 #24.25 타원임플란트 제거 후 임플란트 재수술 + 치조골 이식술 시행하였습니다.
    작성자 이턱이 작성일 01-27 조회 128
  • 8
    임플란트 재수술 #11.22 타원 임플란트 제거 후 임플란트 재 수술 + 치조골 이식술 시행하였습니다.
    작성자 이턱이 작성일 01-27 조회 110
  • 7
    임플란트 재수술 타원임플란트 #14 파절되어 재수술
    작성자 이턱이 작성일 01-27 조회 105

검색

본 글은 의료법 제 58조 1항에 따라 이턱퍼스트치과에서 의학적 지식을 공유하기 위해 작성되었습니다.
내원 환자분의 동의하에 공개된 것이며 모든 시술/수술은 부작용이 발생할 수 있음으로 의료진과 상담을 통해 정하셔야합니다.


이턱퍼스트치과 바로가기

회사명 : 이턱퍼스트치과 / 대표 : 장진현
주소 : 경기도 평택시 지제동삭2로 181-24 3층
사업자 등록번호 : 292-23-01382
전화 : 031-658-2288

Copyright © eteokfirst.com All rights reserved.