임플란트 재수술
페이지 정보

본문
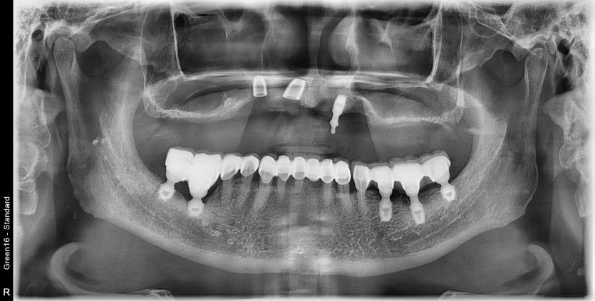
#12.13.22 타원 임플란트 제거 후
임플란트 수술+치조골 이식술 시행하였습니다.
임플란트 수술+치조골 이식술 시행하였습니다.
- 다음글임플란트 재수술 26.01.27
댓글목록
등록된 댓글이 없습니다.
회사명 : 이턱퍼스트치과 / 대표 : 장진현
주소 : 경기도 평택시 지제동삭2로 181-24 3층
사업자 등록번호 : 292-23-01382
전화 : 031-658-2288